Înapoi
Atenționare importantă de la medicii cardiologi pentru pacienții cu stenturi
Actualitate

Atenționare importantă de la medicii cardiologi pentru pacienții cu stenturi

Postat 1 oră în urmă

Update 1 oră în urmă

Timp de citire: 2 minute

Articol scris de: Elena Dumitrescu

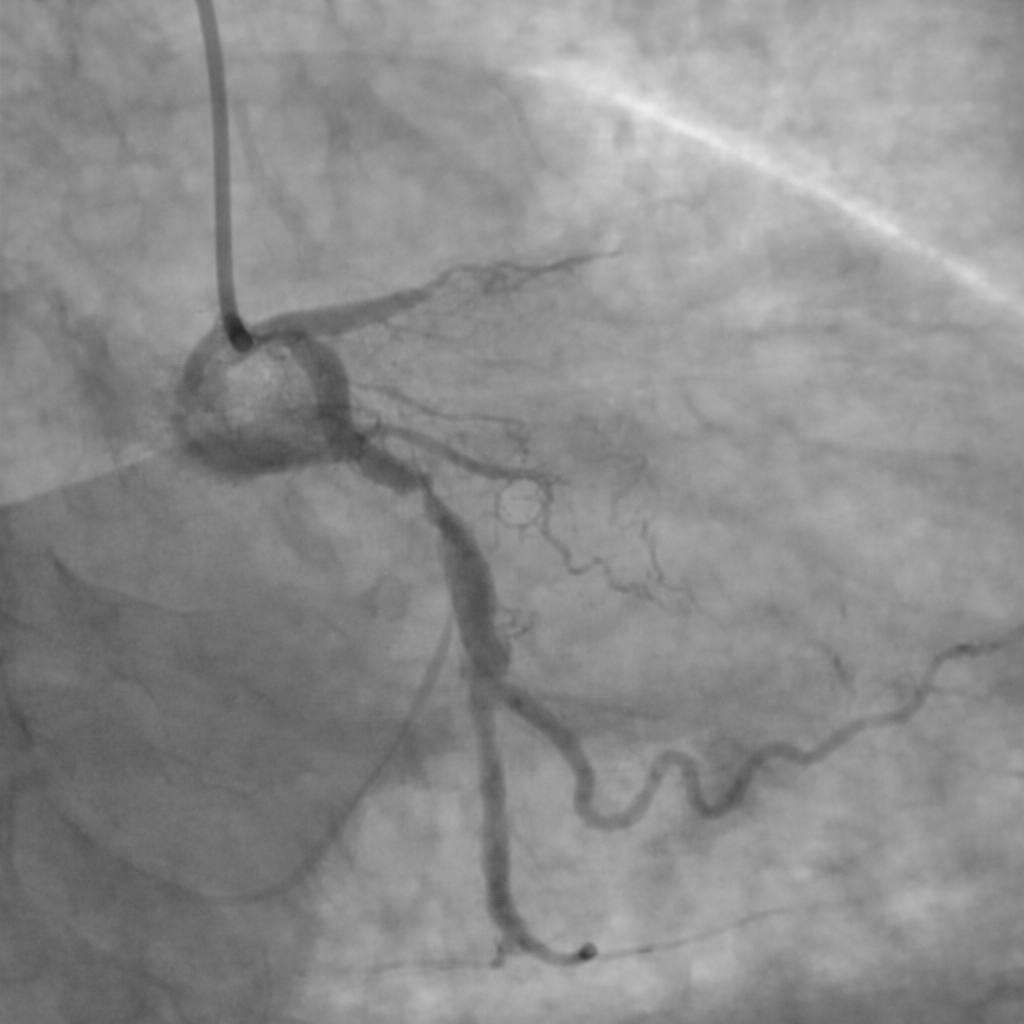
Cardiologul din Târgoviște, dr. Țoni Ovidiu, subliniază pericolele asociate cu nerespectarea tratamentului la pacienții cu stenturi implantate. Potrivit damboviteanul.com, medicul avertizează că un stent nu este o soluție definitivă și că întreruperea medicației poate duce la complicații grave, inclusiv infarct miocardic.

👉 Riscurile negijării tratamentului la pacienții cu stenturi

Dr. Țoni Ovidiu explică faptul că stenturile pot deveni obstruate. Acesta a exemplificat prin cazul unui pacient care a suferit un infarct miocardic acut, în ciuda faptului că avea stenturi implantate de mai mulți ani. „Din păcate, a decis să-și administreze medicația din când în când”, a declarat medicul.

În astfel de cazuri apare stenoza intrastent, o îngustare a arterei în interiorul stentului, care poate fi cauzată de proliferarea țesutului sau de tromboza de stent, provocată direct de întreruperea tratamentului antiagregant.

👉 Importanța respectării tratamentului și a controalelor regulate

„Implantarea unui stent nu înseamnă vindecare definitivă. Medicația trebuie luată zilnic, corect și pe termen lung”, avertizează dr. Țoni Ovidiu. El reamintește pacienților că controalele cardiologice regulate sunt esențiale și subliniază: „Stentul funcționează atât timp cât pacientul își face partea lui.”

Distribuie aceasta stire pe social media sau mail
Alte postari din Actualitate
Actualitate

Delegație din Turcia în vizită la Titu pentru un schimb educațional

Orașul Titu primește în aceste zile o delegație formată din profesori și elevi din Turcia, ca parte a unui schimb de experiență educațională desfășurat prin programul Erasmus+. Vizita are loc între 26 și 30 ianuarie 2026, iar Liceul Teoretic „Iancu C.

Actualitate

Întrerupere a furnizării apei potabile în Aninoasa și Doicești pe 29 ianuarie 2026

Compania de Apă Târgoviște Dâmbovița anunță consumatorii că pe 29 ianuarie 2026, furnizarea apei potabile va fi suspendată în comunele Aninoasa și Doicești între orele 08:00 și 18:00. Această măsură se ia pentru realizarea unor lucrări de cuplare a rețelei de transport a apei potabile reabilitate, conform informațiilor oferite de Biroul de Presă al companiei.

Actualitate

PSD Dâmbovița sprijină măsuri economice alături de reformele administrative

Organizația PSD Dâmbovița a publicat un punct de vedere privind discuțiile din Coaliția de guvernare referitoare la reducerea cheltuielilor din administrație și introducerea unui program de revigorare economică. Social-democrații anunță că vor oferi sprijin parlamentar pentru reformele administrative doar dacă acestea sunt corelate cu măsurile economice propuse de partid.

Actualitate

Catedrala Patriarhală sărbătorește canonizarea celor 16 Sfinte Femei Românce

Evenimentele liturgice dedicate canonizării celor 16 Sfinte Femei Românce se vor desfășura la Catedrala Patriarhală „Sfinţii Împăraţi Constantin şi Elena”, conform unui program detaliat. Potrivit biroului de presă al Patriarhiei Române, manifestările vor avea loc pe 5 și 6 februarie 2026, incluzând slujbe solemne și procesiuni pentru a onora viețile acestor sfinte.

Acasa Recente Radio Județe